
临床上将合并腰痛或下肢放射痛等临床症状的腰骶移行椎(lumbosacral transitional vertebra,LSTV)称为Bertolotti综合征,又称第五腰椎横突肥大综合症、远端综合征或是症状性腰骶移行椎。
由于Bertolotti综合征常合并上位椎间盘突出、退变以及上位椎体不稳,上述脊柱退行性改变也会导致腰疼,因此很容易导致本病的漏诊。例如某腰疼患者行脊柱MR平扫发现腰4/5椎间盘突出,随即临床对腰4/5椎间隙进行彻底的减压治疗,而术后患者的腰疼症状却无明显改善,这往往就是漏诊Bertolotti综合征所致。因此,对于青壮年腰痛或伴下肢放射痛,特别是发生在L4/5水平的,术前应排除Bertolotti综合征,以免引起医疗纠纷。
(一)LSTV的影像学分型(Castellvi分型)
I型:横突发育不良并增大,冠状面横突高度>19mm;
II型:横突增大并与邻近骶骨形成假关节,伴有骨质硬化;
III型:横突增大与骶骨融合;
IV型:单侧LSTV II型,对侧为III型。
注:I、II、III型均分为a、b两个亚型,a型为单侧横突异常,b型为双侧异常。



I型:横突发育不良增大,冠状位高度>19mm,尚未形成假性关节面

L5椎间盘呈远外侧型突出(黑箭)并与粗大的L5横突协同压迫L5神经根

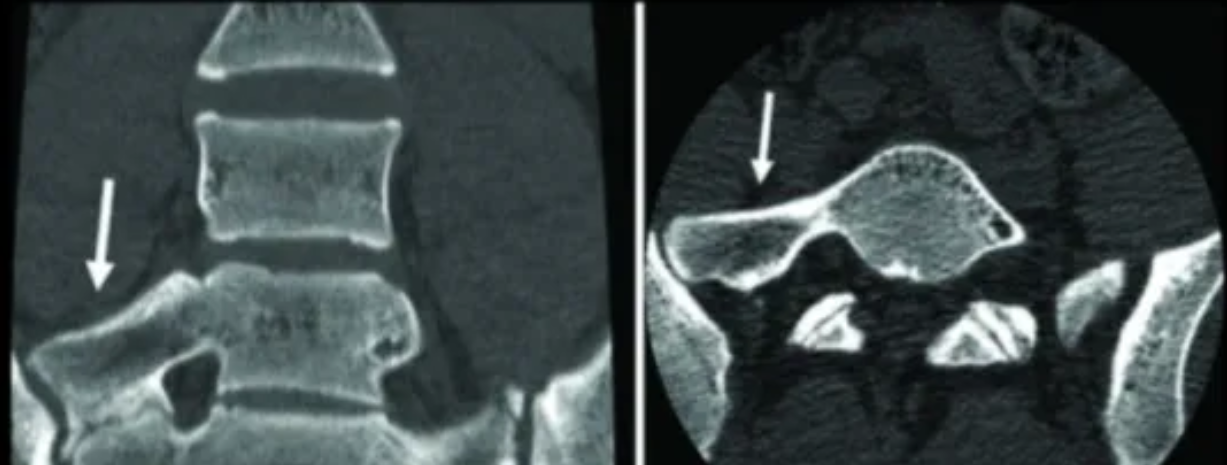
IIa型:单侧横突与骶骨形成假关节伴硬化,但未融合

IIb型:双侧横突与骶骨形成假关节伴硬化

IIIa型:三维CT显示右侧横突与骶骨嵴融合

IIIb型:双侧横突与骶骨嵴融合

IV型:右侧LSTV II型(长箭头),左侧为III型(短箭头)
影像诊断标准:
①腰椎骶化或骶椎腰化(以前者多见);
②腰5横突单侧或双侧增大并与骶骨嵴形成假关节或与之融合;
*伴随征象:上位椎间盘退变、突出或上位椎体的不稳;
(二)影像检查手段的选择
以目前国内的现状,首选薄层CT扫描并进行三维重建。
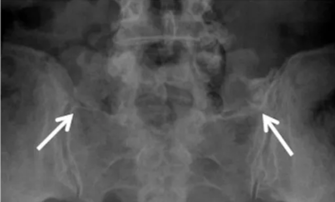
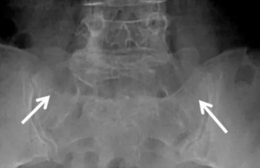
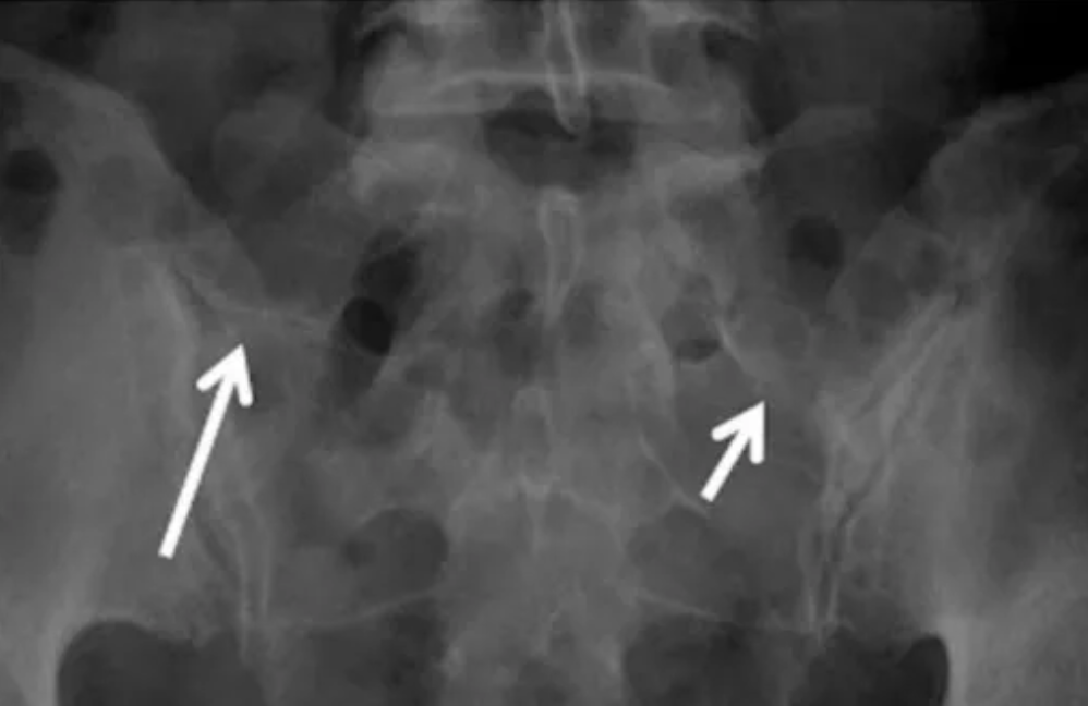
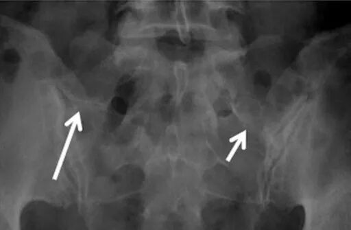
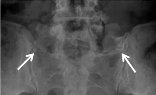
如果是正位X线平片,如果不采用特殊体位,恐怕价值不大,因为腰5横突会和骶骨嵴重叠在一起导致观察不清;在常规正位片基础上倾斜30°拍摄(AP radiograph with a 30°cranial angulation),称之为弗格森(Ferguson)射线片,此体位能够清楚显示腰5横突,是国外诊断Bertolotti综合征的首选检查方法。
腰骶段神经扩散张量成像(DTI)和椎管造影检查可有效检出本病,但临床应用很少。

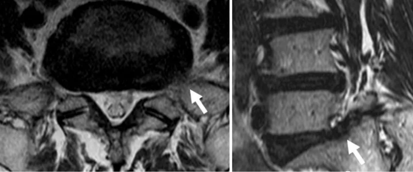
(白箭指向假关节,但很难清晰显示)
注意:腰椎MR平扫常导致本病漏诊,一旦发现腰椎骶化或骶椎腰化,而患者又比较年轻,应加扫冠状位压脂序列,或是配合 CT薄层扫描进行联合诊断。
来源:小针刀医学平台
温馨提示:本平台分享健康图文信息,仅供大家参考,不作为医疗诊断依据。如有需要,请在医师指导下使用。此公众号所转载的所有文章、图片、音频视频文件等资料版权归版权所有人所有,因非原创文章及图片等内容无法一一和版权者联系,如原作者或编辑认为作品不宜上网供大家浏览,或不应无偿使用,请及时通知我们,转载此文是出于传递更多信息之目的,本文无意侵犯媒体或个人的知识产权,若有来源标注错误或侵犯了您的合法权益,请作者持权属证明与本网站联系,我们将及时更正、删除
地址:河源市龙川县老隆镇两渡河北二路91-1号 电话:0762-6293333