
- 第二轮感染高峰3-5月到来?两类人群或受影响大!2023-02-08
- 社保转移影响养老金?社保转移的五大误区及养老金...2022-08-17
- 没有工作单位,自己缴纳社保划算吗?内行人说出答...2022-08-17
- 医保卡过期?停用?警惕这类诈骗!2022-08-09
腰椎间盘突出,作为一种不可逆的病理状态,谈何根治?
腰椎间盘突出压迫周围的神经和脊髓,引起反复的腰背痛和放射到下肢的麻木感,通过锻炼可能可以缓解,但习惯不注意,也很容易复发,有“根治”的可能性吗?
有小概率的可能性,但绝对不高。
所谓的根治的错觉,只是即时对疼痛进行了缓解。
原理就是之前回答一直说的:肌肉韧带动力失衡引起的脊柱静力平衡破坏。
你以为治疗了腰椎间盘突出,其实只是干预了腰肌劳损。
简单讲,如果把腰部平衡看作一个系统,那么腰肌主要负责动态平衡,而腰椎间盘是静态平衡的一部分。动态失衡(腰肌劳损)大多症状较轻而且可以逆转,而静态失衡(腰突症)却会引起更持久的症状而难以逆转。
几乎每个上班族都曾饱受腰痛的困扰。
当腰痛来袭,站也不是,坐也不是,走几步就“腰部发沉”,坐久了就“直不起腰”,越想尽快缓解它,它就越是如影随形。
这种慢性易复发的不适大大影响了我们的工作状态,破坏了我们日常生活的质量。
腰部除了承担和维持身体重力以外,还要适应各种活动下动态的变化,这些稳定性和灵活性兼具的协调任务,主要由腰肌来担当,但人体结构在解剖上,总存在诸多限制。
如果急性腰部扭伤或长期累积的腰肌劳损,如果未及时获得恰当的治疗,就会发展成慢性腰肌筋膜问题,肌纤维和筋膜在自我修复中,容易产生瘢痕和粘连,加之扭伤伴随的疼痛影响了我们活动发力的范围,久而久之就会造成身体两侧腰肌力量减弱或者失衡。

另外很大一部分慢性腰部劳损,是来自于“量变到质变”,长期久坐伏案工作(学生、白领)、长期弯腰低头工作(厨师、工厂工人)、反复弯腰发力(农民、手术医生)等不良体位和错误姿势引起的应力累积,就容易造成疲劳创伤。

肌肉软弱不能维持正常腰部功能和位置,使深部韧带受到牵扯,导致周围的神经和血管受到挤压,影响营养供给,腰椎附近炎症物质在脊柱周围肌肉缝隙间形成“堰塞湖”,积聚而无法排出,于是就产生了压痛点。患者因为怕痛,在活动中总是有意无意地避免使用这部分的肌群,肌肉长期不使用,就会发生萎缩,加之周围炎症物质的堆积,肌纤维之间还会互相粘连,肌肉的弹性大不如前,而影响腰部的活动有赖于多种肌群的协调配合,当一组肌群发生问题时,整个动态平衡的体系也会发生“蝴蝶效应”。
同样的情况在韧带层面也有发生,一侧韧带和软组织随着劳损减小强度和张力而松弛,而另一侧则因张力过大而缩短,平衡失调,疼痛扩散,牵扯上下肢在各种活动中都出现不稳定的姿态,韧带的动态失衡,常常会影响椎体之间的平衡。
如果以上的文字理解起来有些吃力,可以直接看下图,如果说脊柱是一艘帆船的桅杆和船体,那么脊柱周围的肌肉韧带就像缆绳。

肌肉力量失调、肌肉痉挛和肌肉挛缩是形成慢性腰痛的“三重前奏”,而作为“主旋律”的腰椎间盘突出和椎管狭窄,一般都在腰部肌群出现问题之后,没有得到及时纠正,不良刺激始终贯穿,旧的创伤和新的损伤交杂,才逐渐从肌群的动态失衡转变为腰椎间盘突出等静态的结构失衡。
「椎间盘突出」微观看
在大嚼羊蝎子和牛尾的时候,好吃的源头来自于这两个部位之间的「软骨」特别「薄脆」但又很有嚼劲的口感。


当我们仔细看的时候,会发现这两部分的软骨并不与喝骨头汤时候啃骨表面的软骨一样。

它们就像年轮一样,一层包着一层,紧密又富有弹性。
这就是椎间盘独有的结构——纤维软骨(Fibro cartilages)。椎间盘由这些纤维软骨在外层形成厚实的「纤维环」(Annulus,拉丁语,Anus是“环”的意思),这些富有弹性又牢固的纤维环一层层包围着椎间盘中间一块像果冻一样的结构——「髓核」(Nucleus pulposus)。前后左右都由纤维环紧紧围绕,而上下两个部分就由两块被称为「软骨终板」(Cartilage endplates)的结构像三明治一样紧紧的夹住髓核。
对,这就是大家一直听到也总是会吃但很少仔细观察的「椎间盘」。他的结构就像芝麻汤团一样,厚实的糯米(纤维软骨)包裹着流体的芝麻馅儿(髓核)。

在实验室,我们会把动物的脊柱包在石蜡块里,然后把这块类似琥珀的东东在切片机下切成平均5微米的薄片,放在载玻片上,染上想要的颜色,在显微镜下就可以看到更微观的结构了。

这种蓝色的染色是甲苯胺蓝(Toluidine Blue),因为其中的阳离子有染色作用,所以能与组织细胞里的酸性物质结合现出颜色。在椎间盘中,纤维环的「胶原纤维」和其中活动的「软骨细胞」都可以看得非常清楚。


根据这两张染色片,我们可以清楚地观察到椎间盘的纤维环其实是一层一层平行排列的胶原纤维组成的,大约15-25层左右。
而在正面观察,每一层的胶原纤维走向又是各不相同,相邻之间的斜角大约60度。这样一个15-25层各不相同夹角的纤维环,椎间盘外围就像建筑工地上的「脚手架」,作为第一层屏障,来抵御脊柱轴向(沿着脊柱)的压缩和拉伸以及左右弯折和旋转所带来的外力冲击。
当外力逐渐增大,纤维环吸收外力冲击的同时也会发生形变,主要表现是逐渐向两侧弯曲,这也是大部分影像报告上所提到的「椎间盘膨出」。

如果减少局部的外力,纤维环的形变会慢慢恢复,所以「椎间盘膨出」是可逆的。

均匀分布在胶原纤维上的软骨细胞,为胶原纤维提供足够的营养并不断加固它们。如果局部位置细胞数量减少,这片纤维环就会变得脆弱并在外力作用下发生撕裂。
为了更清楚地观察蛋白多糖分布,我们采用Safrainin O/fast green的染色方法,胶原及蛋白多糖丰富的部分被染成不同层级的橙红色,而骨骼部分则是蓝绿色。

根据这张染色片,很清楚的就可以看到椎间盘这个汤团切开之后到底是怎么样的。图中红色透亮区域就是椎间盘中心的「髓核」。它主要由放射状的分布着弹性纤维(elastin fibres)和外层随机分布的胶原蛋白(collagen fibres)组成。弹性纤维主要由含水量非常高的蛋白聚糖(Aggrecan)组成,通过液体的渗透压(Osmotic pressure)成为第二成屏障,来吸收脊柱传来的外来冲击。
一个思考:如果纤维环撕裂了,含水量巨大的髓核流出来怎么办?
当髓核顺着纤维环撕裂的缝隙一点一点的流出来,流到外面,随着水分的脱干,结构也会越变越硬,当流出椎间盘的时候,髓核已几乎成为了固体,这就是「椎间盘突出」。
椎间盘突出主要的危害就是压迫到附近的神经或者脊髓组织,造成慢性压迫的二次损伤,平时的手麻、脚麻以及其他一些神经放射症状都是因为突出的椎间盘压迫到神经根。而严重的情况下,当椎间盘压迫到脊髓,会出现更多感觉和运动障碍(冷热觉不敏感、精细活动障碍)。
根据这个过程,椎间盘突出一旦形成是无法逆转恢复回去的,即使微创手术可以把突出物消融,可以把纤维环修复完整,但是这一块椎间盘里的髓核是缺少的。即使水平再高超的手术医生,都无法让第一层防护纤维环的结构完全恢复成原状,更无法在髓核内补充足够的蛋白多糖,因为治疗手段的局限,这个方法可以改善因为椎间盘突出的使得这一段椎间盘承重的能力也会大不如前。
另一个思考:椎间盘退变是不是和椎间盘突出很有关联?
40岁之后,超过60%的人在MRI影像上会发现椎间盘退行性改变(退变)。而退变直接发生在椎间盘对抗外力的两层防护上,所以可以说,椎间盘退变很大程度上会加大椎间盘突出的风险。

图中发黑部分的那一段椎间盘就是退变的椎间盘且正在突出。
椎间盘退变主要分为两步走:
1. 随着年龄增大,椎间盘中间的髓核脱水,蛋白多糖开始分解;2. 随着劳损积累,椎间盘周围纤维环排列出现紊乱及撕裂。
在染色切片中,我们就可以看到,相比于正常椎间盘,退变的椎间盘内部的结构显得更加紊乱,椎间盘纤维环之间存在多处撕裂的缺口。在纤维环构成的一条条路径上分布的细胞变得更少,加固工程越来越懈怠,使得椎间盘纤维环的胶原越来越脆弱,这就是退变的椎间盘难以承受外力引起突出的主要因素。
似乎无论我们如何努力,都无法抵御岁月在我们身上刻下的印记。
所幸我们还有肌肉和韧带,它们是脊柱抵御外力冲击的另外两层防护,而这两层防护真的可以做到“事在人为”的。
「腰肌劳损」微观看
腰肌是一组非常复杂的肌肉系统,竖脊肌虽然只是冰山一角,但它们的形态特征和功能表现是整组腰肌的典型代表。

这是菜场里我们可以看到的竖脊肌

因为需要“跨过”多个脊柱节段,所以腰肌一般比较长,而且呈“条束状”。
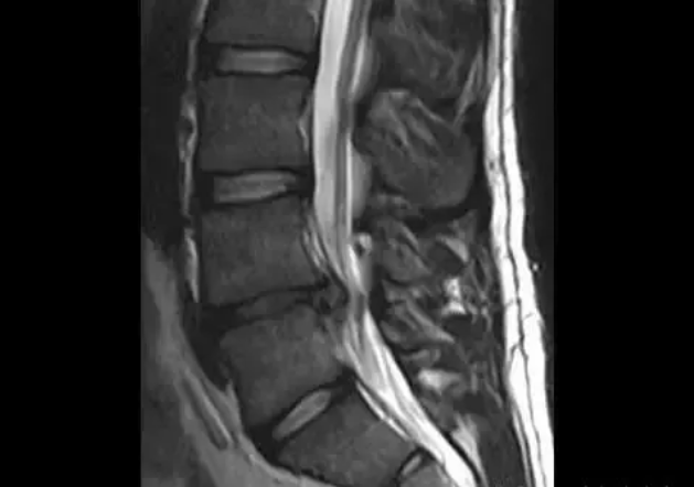
这是在腰椎MRI里我们可以看到的竖脊肌

位于脊柱椎体棘突的两侧后方,因为日常姿势与行为习惯,两侧截面积往往会有不对称。
虽然MRI是平躺中检查的,肌肉截面积大小不足以证明肌肉力量和弹性,但是有经验的医生还是可以通过两侧肌肉的灰度和大小来推测病人日常活动的习惯。
这是实验室切片里看到的竖脊肌

通过这一系列不同尺度的观察,作为有科研素养有临床经验的医疗工作者,可以获得什么启发并应用于实际呢?
首先,结合第一类直观的肌肉形态和弹性,医生在查体时候可以直接通过触觉获得日常肌肉运动的情况;其次,根据MRI影像,医生可以通过视觉,观察两侧肌肉的灰度和大小来推测病人日常活动的习惯;最后,医生可以通过深度触诊感受到位于肌肉深部的炎症,然后调出大脑中丰富的解剖和运动学知识,来推测哪一部分肌肉在运动中发生了急性或慢性的损伤
腰部不适的原因各种各样,但是人们总是特别在意“腰椎间盘突出”,大部分的问题也都集中于“我的腰椎间盘突出还能回去吗?”——
其实,除了椎间盘突出以外,脊柱周围软组织和肌群的炎症和痉挛也是引起腰痛的一个重要原因。

腰部肌群由许许多多像“里脊肉”一样的条束状肌肉共同组成,它们互相交错、协同配合,一起帮助脊柱和椎间盘来支撑直立时候的体重,并且让身体可以自由地弯腰、伸腰和旋转。
日常腰肌劳损怎么自查?
大部分人的腰痛并不太严重,日常活动时不会感到疼痛,发力也不会受到影响,远端下肢更不会出现麻木无力的神经放射症状,但当他们跑去做手法推拿的时候,治疗师手指对腰部做的深层按压,会引起非常严重的酸胀疼痛感。造成这些症状的问题,不在腰部肌群,也不在腰椎关节和椎间盘,而是在肌肉表面覆盖的肌筋膜。
「肌筋膜炎」,就是引起腰部按压酸胀感最常见的一种软组织损伤,主要发生在各种肌群叠加在一起协同发力的部位,如颈部、肩部、腰部和臀部。许多人或多或少都会在这些部位上受到挤压,会有酸胀感,甚至剧烈疼痛会被一触即发,这些敏感的按压区域我们称之为称为“激痛点”,是肌筋膜炎特有的现象。
这些“激痛点”主要分布在肌筋膜和骨相连的部位,众多肌肉的肌腱从连接的骨表面开始束状分支,也是受力最集中的区域,肌肉劳损和拉伤所产生的炎症物质也会积蓄在这里,当按压时,肌肉受到牵拉、更多炎症物质接触到神经末梢、有陈伤的肌筋膜等软组织被进一步牵拉,都会引起局部疼痛刺激,但并不会沿着神经分布形成进一步的放射症状。

除了按压会引发酸痛感以外,潮湿阴冷的天气变化,也会通过让肌肉痉挛而使肌筋膜积聚炎症物质,造成粘连和增生。这些皮下肌肉间的粘连物用手指按压可以感觉到,条索状半游移的形态,是受损的肌肉纤维和周围脂肪组织聚合而成的纤维性组织。针对颈腰不适所做的手法治疗或小针刀治疗,治疗原则就是“撕开”这些多余粘连,用短期的疼痛难忍来交换未来功能的改善。
和慢性劳损的肌筋膜炎症压痛不同,活动量较大的青壮年大多是腰椎活动过度引起的摩擦和牵拉,以第3节腰椎的横突最常见,因此也被称为“第三腰椎横突综合征”。
第3节腰椎两侧横突特别长,水平向两侧延伸,横突周围有血管和神经交叉经过,还有较多腰椎两侧肌群的筋膜附着。同时,第3腰椎正好在腰椎生理前凸弧度的顶点,恰好经过躯干的重心线,是承受重力并传递负荷的重要结构。

活动中身体侧向发力时,连接横突的一侧椎旁肌收缩,对侧横突就会因为杠杆作用而上撬,活动范围比较大,需要通过腰椎周围各种肌群协作才能维持平衡,如果缺少其他肌群协作,仅靠一侧椎旁肌收缩产生活动,容易造成对侧单一肌群过度牵拉损伤,肌纤维撕裂后出血、粘连和筋膜挛缩,使周围血管神经受到摩擦、刺激和压迫,由此产生症状。
与肌筋膜炎不同的是,腰三横突综合征和受到的外力作用关系很大,常常在运动或工作中发力不当,而产生或者加重症状,主要表现出来的疼痛,除了集中在单侧或者两侧以外,还会扩散到臀部、大腿后侧、腹部等处,但不会影响走路姿势。
因为病变部位仅在腰椎周围软组织,几乎不伴有腰椎结构的异常改变,因此非手术治疗(封闭注射、物理治疗、推拿手法)就足以缓解症状。如果不及时积极治疗,放任其粘连和疼痛不断加重,就容易引起腰椎和椎间盘等静力平衡结构的变化。
其实,引起腰痛除了腰肌劳损、腰椎间盘突出、腰肌筋膜炎,腰椎间关节紊乱和腰椎终板炎也同样会引起更反复的腰痛。因此更精准的评估和诊断比全方位的治疗更重要。
不要幻想有一个方法可以根治!
来源:知乎,脊健康
温馨提示:本平台分享健康图文信息,仅供大家参考,不作为医疗诊断依据。如有需要,请在医师指导下使用。此公众号所转载的所有文章、图片、音频视频文件等资料版权归版权所有人所有,因非原创文章及图片等内容无法一一和版权者联系,如原作者或编辑认为作品不宜上网供大家浏览,或不应无偿使用,请及时通知我们,转载此文是出于传递更多信息之目的,本文无意侵犯媒体或个人的知识产权,若有来源标注错误或侵犯了您的合法权益,请作者持权属证明与本公众号联系,我们将及时更正、删除
地址:河源市龙川县老隆镇两渡河北二路91-1号 电话:0762-6293333