
- 第二轮感染高峰3-5月到来?两类人群或受影响大!2023-02-08
- 社保转移影响养老金?社保转移的五大误区及养老金...2022-08-17
- 没有工作单位,自己缴纳社保划算吗?内行人说出答...2022-08-17
- 医保卡过期?停用?警惕这类诈骗!2022-08-09
颈椎小关节,也称颈椎椎间关节和颈椎关节突关节,除了寰枕和寰枢关节外,其余的颈椎小关节均是由相邻椎体的上、下关节突构成。这些颈椎小关节均为真性关节,其关节表面覆有滑膜,并有真正的关节囊,关节囊分布着丰富的神经,小关节受损后会产生疼痛。颈椎小关节易受关节炎与颈椎活动时颈椎过伸或过曲导致的损 伤的影响,这些对关节的损伤会产生关节滑膜炎症与粘连,从而出现疼痛。每个颈椎小关节均受两个脊髓节段的神经支配,即同一个脊椎节段和上一个脊椎节段的脊神经内侧支支配 。
颈椎关节突关节是由颈椎的上关节突与上一椎体的下关节突在椎板和椎弓根交界处组成的关节。颈神经后支的内侧支在经过关节柱后部时发出关节支,一支支配上方的关节突关节(也称小关节),一支支配下方的关节突关节。因此,每一个颈椎关节突关节都有双重神经支配,也就是说每个关节接受2个节段的神经支配。C3颈神经后内侧支解剖与其他关节突关节有所不同,其深部内侧支绕过C3关节柱支配C3/4关节突关节,其浅表的内侧支被称作第三枕神经(TON),它从C2/3关节突关节侧方绕至后方发出关节支支配该关节。因此,只有C2/3的关节突关节被一个单独的TON支配。除了TON,其余后内侧支并不越过关节突关节的最高点,而是从前向后穿过两个关节间的最低点(如下图)。

图2:颈椎关节突关节与颈神经后内侧支示意图(此图片由倪勇老师提供)
图1 / 颈椎小关节解剖图:
每个颈椎小关节接受两个脊椎节段的神经支配,
即同一节段的脊神经背侧支和上一节段的脊神经背侧支
这一解剖特点有重要的临床意义。可以解释以下两个临床现象:①颈椎小关节的疼痛 定位模糊。②需同时阻滞目标关节上一节段的脊神经内侧支与目标颈椎小关节水平的脊神经内侧支才能完全缓解疼痛。在每一个脊椎节段,脊神经背支发出内侧支包绕此脊椎关节柱的凸面( 图2 )。
图2 | 颈神经后支与上关节突的解剖横断面图
从C3 、C4到C8~T1 水平的支配小关节的神经分布位置均是固定不变的,这使得 超声引导下的小关节内阻滞技术简单可行。寰枕关节和寰枢关节并不是真正的小平面关节,不 受内侧支支配,而是受C1神经和C2神经腹侧支支配。C2 、C3小关节主要由第3枕神经支配,而第3枕神经是C3 神经后支发出 的内侧支。
治疗过程
体位:俯卧位,颈部微屈曲。
常见的穿刺方法有两种,一种是经小关节内入路,一种是内侧支入路。
经小关节内入路
穿刺技巧:
标记棘突,穿刺点位于相应棘突旁开2-3cm。如有C臂,可通过C臂定位相应小关节位置。或者在B超引导下穿刺。穿刺针垂直皮肤穿刺,C臂定位下调至穿刺针方向,为更好显示小关节突,通常将C臂于皮肤呈30°角。穿刺成功后注射药物/射频。

关节内穿刺需谨慎,主要药物容量约1ml,注射过多药液可能损伤小关节。穿刺深度要注意,进入小关节即可。旁开距离要把握好,偏内易通过内侧椎板进入椎管内,偏外可能穿刺入椎动脉。
小关节内侧支路径

将上关节突和横突交界处作为靶点,此处为小关节内侧支越过横突的位置。
穿刺技巧:垂直穿刺可能会遇到小关节突阻挡,可以将穿刺针于皮肤倾斜30°,穿刺针朝向关节面横突后上缘。建议首先触及横突,以确定穿刺深度,然后将针向内侧定位,直达小关节外侧缘,然后将针尖滑向横突上缘。注射1%利多卡因0.5ml加醋酸曲安奈德25mg 能达到治疗效果。小关节阻滞麻醉作为诊断性阻滞是不可靠的,需同时阻断关节周围所用神经分支。然而,这意味着被阻滞关节的上方和下方的关节也会部分被阻滞,所以,用神经阻滞来诊断特定关节的疼痛是不可行的。

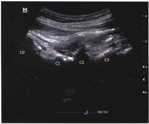
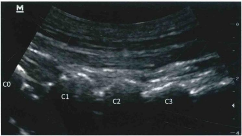
超声引导下穿刺分为外侧入路和后侧入路







采用平面内技术,在选定的穿刺点,以长3.5英寸带芯穿刺针在超声探头的下方以小关节为靶点从尾侧向头端方向进针( 图9和图10 )。
图9 / 超声引导下颈椎小关节内阻滞
不良反应
由于术区邻近脊髓及神经根,该操作必须由对局部解剖非常熟悉并有丰富的疼痛介入治疗经验的医生来完成。此外,术区血管丰富且紧邻椎动脉,这使药物误被注入血管的风险较高。即便是少量局麻药注入椎动脉也会导致癫疴发作。由于术区与大脑和脑干相邻,故术中发生由局麻药物造成的共济失调也并非少见。一些患者还抱怨说,关节内注射后,头痛和颈痛有一过性的加剧。
来源: 穿白大褂不看病
温馨提示:本平台分享健康图文信息,仅供大家参考,不作为医疗诊断依据。如有需要,请在医师指导下使用。此公众号所转载的所有文章、图片、音频视频文件等资料版权归版权所有人所有,因非原创文章及图片等内容无法一一和版权者联系,如原作者或编辑认为作品不宜上网供大家浏览,或不应无偿使用,请及时通知我们,转载此文是出于传递更多信息之目的,本文无意侵犯媒体或个人的知识产权,若有来源标注错误或侵犯了您的合法权益,请作者持权属证明与本公众号联系,我们将及时更正、删除
地址:河源市龙川县老隆镇两渡河北二路91-1号 电话:0762-6293333