
- 第二轮感染高峰3-5月到来?两类人群或受影响大!2023-02-08
- 社保转移影响养老金?社保转移的五大误区及养老金...2022-08-17
- 没有工作单位,自己缴纳社保划算吗?内行人说出答...2022-08-17
- 医保卡过期?停用?警惕这类诈骗!2022-08-09
骨坏死是指骨的活性成分病理学死亡的过程,年龄30-50岁。按组织学分期,从最初的细胞死亡至关节面塌陷,可分五期,分别是细胞凋亡与早期机体反应、坏死区细胞凋亡与充血、坏死区周围出现反应带、反应区重建、新月征与关节面塌陷。
髋关节由髋臼和股骨头组成,髋臼有很丰富的血管供应其营养需求,故很少发生坏死。股骨头则是最容易发生坏死的部位,其次好发于膝关节、肩关节和肘关节等。
★ 1.病因
股骨头坏死的病因尚不明确,大部分病例的病因均与一些危险因素有关,如酒精中毒、减压病、类风湿关节炎等。
★ 2.临床表现
股骨头坏死最常见的症状就是疼痛,可表现为持续性疼痛,也可表现为间歇性疼痛;随着病情的发展,股骨头塌陷、骨质增生,致使疼痛进一步加剧,出现关节炎症状,如肿胀、僵硬、活动受限、跛行等。
★ 3.股骨头坏死的ARCO分期
-
0期:检查均正常或不能明确诊断;
-
I期:X线、CT正常,但骨扫描或MRI有异常;
-
Ⅱ期:无半月征X线异常(硬化、骨小梁缺失、局部有囊变);
-
Ⅲ期:新月征和(或)股骨头关节面扁平;
-
Ⅳ期:关节炎、关节间隙变窄,髋臼改变、关节破坏。
① 0期和I期股骨头坏死在CT中没有明显的表现;
② II期股骨头内可出现条带状和斑片状高密度硬化边,边缘显示模糊。坏死区密度可呈低密度、等密度或高密度;
③ CT可较X线平片更早的发现III期股骨头坏死的新月征表现和关节面塌陷;
④ Ⅳ期可见髋关节间隙变窄、关节炎、关节囊积液、肥厚钙化等。
病例1-1 双髋关节轴位CT解剖结构
病例1-2 示双侧股骨头内沿皮质下走形的不规则线状高密度影硬化边,左侧股骨头中心密度弥漫性增高,内部呈低密度区,骨小梁结构模糊。
病例1-3 示双股骨头内线状高密度影,右侧股骨头内坏死区密度增高;左侧股骨头密度不均,可见多个囊状透亮区;左侧股骨头关节面塌陷呈台阶状。诊断为双侧股骨头坏死,左侧为Ⅲ期,右侧为Ⅱ期。
病例1-4 示双股骨头内线状高密度影,双侧股骨头内坏死区密度增高;双侧股骨头密度不均,可见囊状透亮区;双侧股骨头关节面塌陷呈台阶状。诊断为双侧股骨头坏死,左侧为III期,右侧为III期。
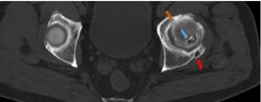
病例2-1 示左侧股骨头后缘密度不均,可见囊状透亮区(蓝色箭头),髋臼关节面下亦可见囊状透亮区(红色箭头),髋关节面变窄(橙色箭头)。
病例2-2 示右侧股骨头内见星芒状的线形高密度硬化影;右侧髋关节边缘股骨头及股骨颈明显骨质增生。
病例2-3 左侧髋关节间隙变窄,左股骨颈外缘骨赘形成;右髋关节正常解剖结构存在。
现在对股骨头坏死的CT表现
你有没有更清楚的认识了呢?
来源: 针刀医学继教中心
温馨提示:本平台分享健康图文信息,仅供大家参考,不作为医疗诊断依据。如有需要,请在医师指导下使用。此公众号所转载的所有文章、图片、音频视频文件等资料版权归版权所有人所有,因非原创文章及图片等内容无法一一和版权者联系,如原作者或编辑认为作品不宜上网供大家浏览,或不应无偿使用,请及时通知我们,转载此文是出于传递更多信息之目的,本文无意侵犯媒体或个人的知识产权,若有来源标注错误或侵犯了您的合法权益,请作者持权属证明与本公众号联系,我们将及时更正、删除
地址:河源市龙川县老隆镇两渡河北二路91-1号 电话:0762-6293333