
第三腰椎横突综合征是指腰三横突及周围软组织的急慢性损伤、劳损及感受风寒湿邪,致腰三横突发生无菌性炎症、粘连、变性及增厚等,刺激腰脊神经而引起腰臀部疼痛的综合症候群。
第三腰椎横突综合症的发生及临床特点,与局部的骨骼、肌肉及神经的解剖特点密不可分。下面将从这骨骼、肌肉及神经这三个方面来详细陈述与解读。


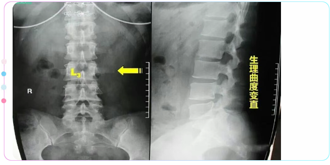
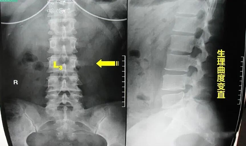
腰椎一共有五个,正常腰椎呈生理性前凸,第3腰椎位于前凸的顶部,腰椎在传导重力时,常是以第3腰椎为其活动中心,故成为腰椎前屈、后伸、左右旋转活动的枢纽。因此,两侧横突所受的牵拉应力最大。在生长发育过程中,受拉应力最大的横突其生长速度也最快。腰三横突位于肋弓与髂嵴之间,横突向后成30度角左右,向前倾斜15度左右,近尖部骨面增厚粗糙。

腰背筋膜深层附着于腰3横突尖部, 上、下缘是横突间肌,横突后板有骶棘肌,前侧有腰大肌和腰方肌。深层行于骶棘肌和腰方肌之间,借集合纤维附着于腰椎横突末端,向上附着于第12肋,向下附着于髂骶嵴腹横肌行于腰方肌外侧缘时移行于腰背筋膜,附于横突末端。腹横肌与腹壁其它肌肉组成所谓的“腹压肌”以支持腹内压,因此,腹压的变化可通过腹横肌影响到横突术端。
腰大肌起自第12胸椎和五个腰椎及其各横突上,止于股骨小粗隆,在身体的前面才能摸到。腰大肌作用是屈髋,亦协助腹直肌使脊柱向前弯曲。

我们知道,触到真正损伤的肌肉是非常疼痛的。但是,因为腰大肌我在在身体的前面才能摸到,从后方按摩,隔着厚实的胸腰筋膜、竖脊肌、腰方肌等,是很难触到腰大肌的,既然没有碰到病源,表现出的,自然也是喜按的假象了。多数人的腰大肌其实是非常“拒按”的,这才是真正的“实证”所在。
我们常说“腰膝酸软”。腰痛很容易理解,但伴随着膝盖的症状就很奇怪了。这其实和肌肉与神经的走行有很大的关系。
腰丛的分支包括髂腹下神经(T12、L1),髂腹股沟神经(L1),股外侧皮神经(L2-3),股神经(L2-4),闭孔神经(L2-4)和生殖股神经(L1-2)。以股神经为例,发出后分为肌支和皮支,肌支支配的除耻骨肌以外,股四头肌和缝匠肌全部都附着于膝关节,皮支分布于大腿和膝关节前面的皮肤。除此之外,其他神经的肌支支配的肌肉也是广泛附着于膝关节(如闭孔神经支配的内收肌群等),所以,腰部出现问题,势必膝关节也不能免祸,也就出现了我们说的“腰膝酸软”。
腰方肌大致呈“方形”,位于腰椎两侧,以三组纤维连接在第12肋、腰椎横突和髂嵴之间,和肋骨、腰椎、骨盆都有密切关系,其主要作用是向下牵拉使脊柱侧弯。

每从某个角度来说,腰方肌是个“脚踏三条船”的“渣肌”。因为腰方肌的三组纤维分别以不同的方向往返于三个不同的结构之间。这三组纤维分别是:髂腰纤维、髂肋纤维、腰肋纤维,这三条“船”分别是:肋骨、腰椎、骨盆。因此,腰方肌在稳定骨盆及降肋助呼吸方面有重要的作用。
臀上皮神经是由腰1--3脊神经后外侧支组成。第2腰神经的后支紧贴第3腰椎横突顶端尖部向外侧走行,穿过深筋膜从骶棘肌外缘在深浅筋膜之间向下走行,在腰三角处穿过腰背浅筋膜,越过髂嵴分布于臀上部皮下,还有部分纤维入臀中肌和大腿后侧皮下。


股外侧皮神经:第三腰椎横突末端附近有腰丛神经中的股外侧皮神经通过,因此本综合征的疼痛可影响到大腿前外侧。

第三腰椎横突比其他腰椎的后伸曲度大,向侧方延伸最长,位于腰椎中部,两侧腰椎横突联线形成以第三腰椎横突尖为顶点的纵长菱形。第一、二腰椎横突外侧有下部肋骨覆盖,第四、五腰椎横突深居于髂骨内侧,只有第三腰椎横突缺乏肋骨及髂骨保护,因而易受损害。
腰椎横突末端附着不少与躯干活动有密切关系的肌肉及筋膜,主要有腹横肌、腰方肌、腰大肌、骶棘肌及腰背筋膜。坚强的腰背筋膜深层附着于腰椎横突末端、季肋及髂嵴,腹横肌移行于腰背筋膜而附着于横突。腹内压的变化可通过腹横肌而影响到横突末端的组织。
第三腰椎位于腰前凸曲线之顶点,背阔肌的髂腰部分纤维止于第三腰椎横突,腰大肌的部分肌纤维也止于此处,骶棘肌的一部分肌纤维也止于此,因此,第三腰椎成了腰椎的活动中心,起到了类似接力站的作用,为腰椎屈、伸、侧弯及旋体的枢纽,所受的杠杆作用最大。而第三腰椎横突更是受力点。由于第三腰椎横突较长,以致附着于此处的肌肉、筋膜、韧带能有效地保持脊柱的稳定性及正常的活动。较长的横突又能增强肌肉的杠杆作用,肌肉收缩牵拉机会多,拉力最大,当这些组织异常收缩时,横突末端首当其冲。这种解剖特点构成末端易受损伤的基础,往往因劳损而引起横突末端周围的纤维织炎。横突越长,发病率越高,以单侧多见。
第三腰椎横突端后方紧贴着第二腰神经根的后支,当前屈及向对侧弯腰时,该后支被横突挑起或受磨损而引起该神经支支配区痛、麻,也能牵涉到第二腰神经前支而引起反射痛,达臀部及大腿前侧。第三腰椎横突前方深面有腰丛神经的股外侧皮神经干通过,并分布到大腿外侧及膝部。如横突过长、过大或伴有纤维织炎时,能使该神经受累并出现股外侧皮神经痛。此病变波及附近的闭孔神经甚至于肌神经时,疼痛也可出现于髋部或大腿。
1、病人多有急性损伤或长期习惯性姿势不良及长时间的超负荷劳动史。
2、症状轻者表现为一侧或两侧腰部酸胀、疼痛、乏力,休息后缓解,劳累及受凉、潮湿时症状加重;症状重者呈持续性疼痛,可向臀部、大腿后侧和内侧,个别病人可放射至小腿,腰部前屈和向健侧屈时症状加重。
3、患侧腰三横突尖部有明显的压痛,疼痛向臀部及大腿后侧放射,一般不过膝关节。有时患侧臀上皮神经也有压痛。压痛点用1%或0.5%普鲁卡因10~20mL注射后,疼痛及压痛消失。
4、有时可在患侧腰三横突尖部触及痛性硬结或束。
5、内收肌痉挛引起髋关节外展受限。
6、直腿抬高试验阳性,但加强试验为阴性。


来源:北京汉章针刀医学研究院
温馨提示:本平台分享健康图文信息,仅供大家参考,不作为医疗诊断依据。如有需要,请在医师指导下使用。此公众号所转载的所有文章、图片、音频视频文件等资料版权归版权所有人所有,因非原创文章及图片等内容无法一一和版权者联系,如原作者或编辑认为作品不宜上网供大家浏览,或不应无偿使用,请及时通知我们,转载此文是出于传递更多信息之目的,本文无意侵犯媒体或个人的知识产权,若有来源标注错误或侵犯了您的合法权益,请作者持权属证明与本网站联系,我们将及时更正、删除
地址:河源市龙川县老隆镇两渡河北二路91-1号 电话:0762-6293333