
- 第二轮感染高峰3-5月到来?两类人群或受影响大!2023-02-08
- 社保转移影响养老金?社保转移的五大误区及养老金...2022-08-17
- 没有工作单位,自己缴纳社保划算吗?内行人说出答...2022-08-17
- 医保卡过期?停用?警惕这类诈骗!2022-08-09
引言
随着人类平均寿命的延长,社会老龄化及生活方式的改变,颈椎病的发病率较前有明显的提高,颈椎病已成为影响青、中老年人的常见病、多发病。
颈椎病的发病存在差异,与性别、年龄、职业等有重大关系。美国Irvine教授在600例脊柱病患者调查结果显示:1、男性发病率明显高于女性;2、70岁以上患病率为100%;3、不同职业发病率不一样。
发病趋势呈现年轻化:姚宝祥等通过对384例颈椎病调查,发现30岁以下者47例,占12%,知识化:朱凤华等调查会计、编辑、行管等长期低头工作者430人,患病率20.4%,对照组是站立工作营业员308人,患病率13.96%。
世界卫生组织(WHO)公布的《全球十大顽症》中,颈椎病仅次于心脑血管疾病排第二。在全球60多亿人口中,颈椎的患病人群高达9亿。
颈椎病给患者带来颈部僵硬,头晕头痛、呕心胸闷、上肢麻木等不适,严重影响了患者的工作、学习和生活,所以“关爱健康,呵护颈椎”应当引起大家足够的重视。
颈椎病定义
1992年青海颈椎病会议上达成的专家共识将颈椎病定义为:因颈椎间盘退变本身及其继发性改变刺激压迫邻近组织,并引起各种症状和/或体征者。
发病机制
椎间盘退行性改变,椎体边缘、关节突关节、钩椎关节的骨质增生,小关节的移位,都会刺激、压迫神经、血管、脊髓引起一系列的症状和体征。
![]()
临床表现
1、颈肩症状:临床分型为颈型颈椎病。为颈椎病早期,表现为颈肩及枕背部不适,颈部活动受限。
2、脑血管、神经症状:临床分型为椎动脉型或交感神经型颈椎病。多因椎动脉、颈交感神经受激压所引起。表现为脑供血障碍及头、面、五官,乃至心血管等症状。
3、颈脊神经受及激惹的症状:临床分型为神经根型。因脊神经受压或刺激所致,表现为肩、背、上肢放射性痛、麻木、肌萎缩、功能障碍等。
4、颈脊髓受激压的症状:临床分型为脊髓型。表现为不全瘫或截瘫、共济失调、步态失稳、二便障碍、病理反射阳性等。
![]()
影像学表现
颈椎X线上可以看到:生理曲度变直、颈椎序列不齐、颈椎失稳、椎间隙变窄,椎体前缘增生,骨桥形成。
颈椎磁共振表现为:颈椎间盘突出,脊髓受压。
![]()
![]()
诊断依据
1、症状:患者可有一种或多种临床症状(如头晕头痛、上肢麻木等);
2、颈部查体:(1) 主动或被动颈椎活动范围检查异常。(2) 颈部触诊:颈椎关节突关节压痛、肌紧张、棘突偏歪等阳性体征。(3) 各种试验检查阳性(旋颈试验、臂丛神经牵拉试验阳性);
3、颈椎X线检查:常规拍摄颈椎正、侧、开口位X线 片,必要时加照颈椎左、右斜位及过伸、过屈位片有上述表现者;
4、还可以进行CT、MRI(MRA)、脑彩超、肌电图检查等进一步明确诊断。
针刀辨位选点治疗颈椎病的思路
▼
总体思路
我们针刀团队从事针刀10余年,运用辨位选点思路指导针刀治愈了大量的颈椎病患者,经验总结认为辨位选点思路分为以下4个部分:1、准确姿势及功能评估2、精准寻找靶弓弦3、认识立体病理构架4、精准松解治疗5、根据病情需要再评估,再治疗。
![]()
准确姿势及功能评估是辨位选点过程的前提,是寻找和精准判断目标弓弦力线的基础;有了姿势及功能评估获得的资料,结合弓弦理论,就可以找到靶弓弦,精准寻找靶弓弦是辨位选点的关键,这一步的正确与否直接影响接下来的病理构架认识和选点的正确性;有了靶弓弦,依据网眼理论,就可以认识立体病理构架,这是辨位选点过程的重要部分,只要对颈部解剖了解清楚,靶弓弦寻找正确,这一步就很难出错;接下来就是针对立体病理构架关键点进行选点松解治疗,最后的选点是辨位选点过程的结果。
01
如何准确的姿势及功能评估?
全面的熟悉解剖,对骨骼的位置有清楚的认识,如寰枢椎的位置关系,这是正确判断有寰枢关节脱位或寰枢关节间隙变化的基本。2、彻底了解颈部肌肉、韧带的功能:如头伸肌群:头半棘肌止于项平面区、为控制头部屈伸 的肌群;头旋转肌群:胸锁乳突肌、头夹肌、头最长肌、止于乳突区;头固有肌群:椎枕肌止于项下平面区,为头屈伸、旋转肌群的稳定肌群;3、准确评估异常姿势及主被动活动:如颈椎病患者出现头前倾,颈部后仰受限等情况。
02
又怎么做到精准寻找靶弓弦呢?
主要根据姿势及功能评估获得的资料,思考导致或保持姿势的软组织模式。那么常常要思考以下几个问题:1、哪些软组织导致或保持了异常姿势? 2、这些软组织属于哪几条弓弦力线? 3、它们是怎么影响结构模式的?
03
认识立体病理构架
颈椎病的发生不会是单纯某一个弓弦力线出现问题,而是由点成线,由线成面,由面到体逐渐发展的的立体病理构架。正常的运动功能依赖于主动肌、协同肌、拮抗剂协同作用,不管哪一部分出问题,都会相互影响,最终各部分都相应出现问题。
04
精准松解治疗
按照进针刀四步规程,运用正确的刀法通过切割、分离颈部靶弓弦行经路线的粘连、瘢痕和挛缩,破坏立体病理构架,从而调节人体弓弦力学系统的力平衡。
05
根据治疗情况进行再评估、再治疗
当遇到颈椎病病情复杂,经上述步骤治疗后,还有症状未解决,我们根据症状再评估,调整治疗点进行治疗。
案例分享
病史:患者谢**,女,44岁,高中老师,“反复颈部酸痛4年,加重伴头晕2月”入院;患者自诉颈部有僵硬感,头向前弯感觉不自在及出现疼痛,长期低头工作后出现颈项部酸痛不适,前额胀痛,严重时出现头晕。自颈椎病发病以来寐欠安。
查体:枕下项线压痛阳性,C1-C6棘突间及双侧椎旁压痛明显,双侧斜方肌中点处压痛阳性,无向上肢放射痛。姿势:头前倾,含胸稍驼背。
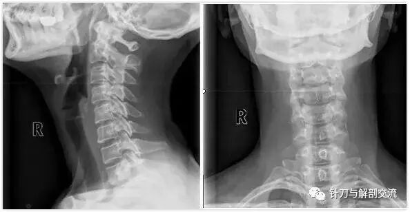
辅助检查:颈椎正侧位片:生理曲度变直,颈部脊柱向左侧弯,寰枕间隙变窄、C3/4钩椎关节变尖。颈椎磁共振:C5/6椎间盘轻度突出。
![]()
![]()
治疗思路:根据患者症状体征及辅助检查,诊断为颈椎病。我们治疗思路按照辨位选点来进行:
![]()
![]()
![]()
治疗过程
【第一次针刀治疗】
治疗点:大“T”松解(上项线5个点 C3-C7棘突)
治疗后:患者颈项部僵硬缓解,头晕、双额前胀痛感减轻,夜寐无明显缓解。
![]()
【第二次针刀治疗】
治疗点:小“T”松解(上向线5个点 C2 棘突) 双侧菱形肌压痛点;
治疗后:颈部僵硬感明显缓解,颈项部酸痛及前额胀痛感较前缓解,头晕次数较前减少,程度较前减轻,夜间睡眠较前改善。
![]()
【第三次针刀治疗】
治疗点:下项线5点 C2、C7棘突 C3、C5两侧关节突关节 两侧菱形肌肩胛骨内缘附着处 两侧天宗穴。
治疗后:患者颈项部酸痛、僵硬感明显减轻,无头晕感觉,夜间睡眠较前明显改善。
![]()
【第四次针刀治疗】
治疗点:C2-7横突 肩胛提肌、小菱形肌止点处 大圆肌肌腹。
治疗后:患者颈项部僵硬感及酸痛症状基本消失,倾、前额部胀痛感明显减轻,无头晕症状,睡眠质量明显改善。
![]()
温馨提示:本平台分享健康图文信息,仅供大家参考,不作为医疗诊断依据。如有需要,请在医师指导下使用。[版权归原作者所有,如涉侵权,请联系删除。]
地址:河源市龙川县老隆镇两渡河北二路91-1号 电话:0762-6293333